Pečujeme o Váš úsměv

Výplně

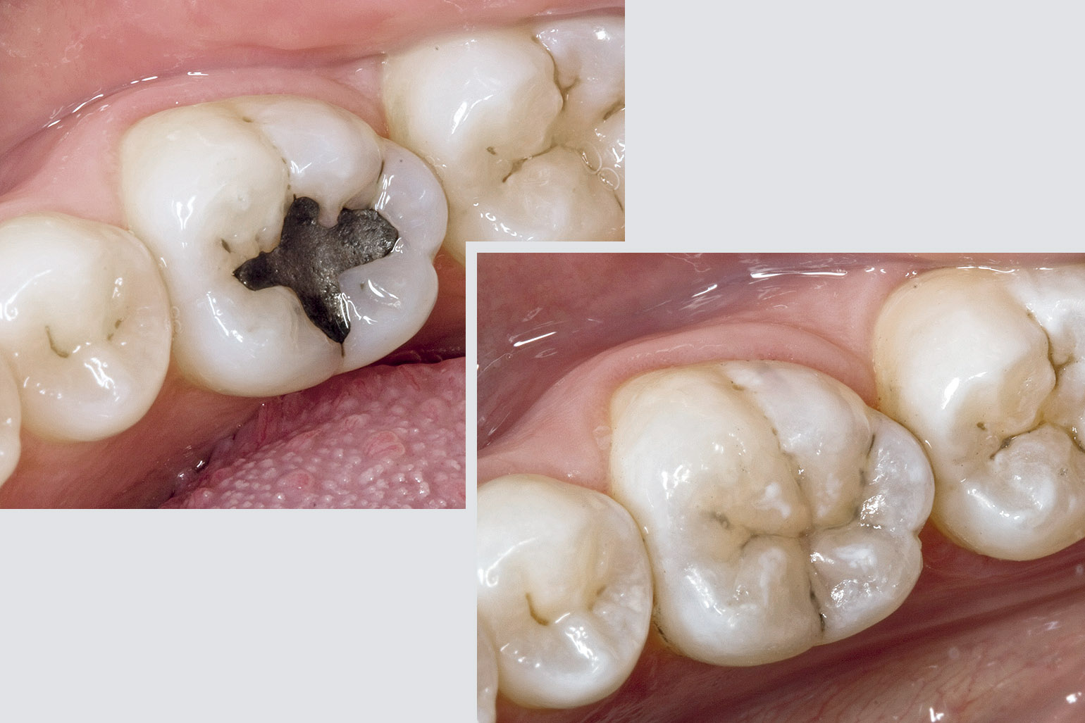
V našem stomatologickém centru standardně zhotovujeme přímé fotokompozitní nebo nepřímé kompozitní či keramické výplně. Volba techniky a materiálu závisí na rozsahu poškození zubu, individuálním posouzení a domluvě s Vaším ošetřujícím lékařem. Ošetření probíhá v souladu se současnými standardy, samozřejmostí je použití lokální anestezie, práce v kofferdamu a využití zvětšovací optiky (lupové brýle, mikroskop).

U dětských pacientů je pak možnost zhotovení i dlouhodobě provizorních výplní ze skloionomerních cementů.

 

© Stomatologické centrum Lípa 2026