Pečujeme o Váš úsměv

Bělení

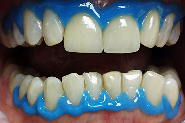
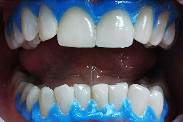
Ordinační bělení, prováděné dentální hygienistkou, je efektivní a může přinést výsledky během jedné návštěvy. Výsledky se mohou lišit v závislosti na individuální barvě a stavu zubů.

Proces bělení začíná vyšetřením, kdy se zhodnotí stav zubů a dásní, poté se zuby vyčistí od povlaků a nečistot. Na dásně se nanese ochranná bariéra a aplikuje se bělicí gel. Profesionální bělicí gel obsahuje peroxid karbamidu, který se aktivuje pomocí speciálního světla, což urychlí celý proces bělení. Na závěr dentální hygienistka doporučí postupy k udržení výsledku.

Domácí bělení probíhá v pohodlí domova. Dentální hygienistka připraví nosič na bělení dle otisků Vašich zubů. Do chrániče se aplikuje bělicí gel a vloží se do úst většinou na noc. Nevýhodou domácího bělení je, že proces trvá déle než proces v ordinaci, a to díky slabší síle bělicího gelu.

Pro udržení efektivního výsledku je nutné dodržování bílé diety u obou typů bělení.

 

© Stomatologické centrum Lípa 2026